Έχεις σκεφτεί ποτέ πόσο μπορεί να αλλάξει το χαμόγελό σου αν τα δόντια σου ευθυγραμμιστούν σωστά;
Τα σιδεράκια δοντιών δεν είναι απλά μια αισθητική παρέμβαση. Είναι μια ολοκληρωμένη ορθοδοντική θεραπεία που βελτιώνει τόσο την εικόνα όσο και τη λειτουργία του στόματος.
Στο ιατρείο μας στη Θεσσαλονίκη, προσεγγίζουμε κάθε περίπτωση εξατομικευμένα, με στόχο ένα φυσικό, αρμονικό και υγιές αποτέλεσμα
Τι είναι τα σιδεράκια και πώς λειτουργούν
Τα σιδεράκια είναι ειδικοί ορθοδοντικοί μηχανισμοί που τοποθετούνται στα δόντια και ασκούν ήπιες, σταθερές δυνάμεις, ώστε να τα μετακινήσουν στη σωστή θέση.
Χρησιμοποιούνται για τη διόρθωση:
- στραβών δοντιών
- συνωστισμού
- κενών
- προβλημάτων σύγκλεισης
Η διαδικασία γίνεται σταδιακά και ελεγχόμενα, με συνεχή παρακολούθηση από τον ορθοδοντικό.

Σιδεράκια σε παιδιά και ενήλικες
Τα σιδεράκια δεν έχουν ηλικία.
- Στα παιδιά βοηθούν στην καθοδήγηση της ανάπτυξης των δοντιών
- Στους ενήλικες προσφέρουν εντυπωσιακή βελτίωση, ακόμη και σε πιο σύνθετες περιπτώσεις
Σήμερα, πολλοί ενήλικες επιλέγουν να ξεκινήσουν ορθοδοντική θεραπεία γιατί θέλουν να νιώθουν πιο άνετα με το χαμόγελό τους.
Και το πιο σημαντικό; Υπάρχουν λύσεις που είναι διακριτικές και πρακτικές για την καθημερινότητα.
Πολλοί ενήλικες σήμερα επιλέγουν να βελτιώσουν το χαμόγελό τους με σύγχρονες και διακριτικές λύσεις. Αν θέλεις να μάθεις περισσότερα για τις επιλογές που υπάρχουν, μπορείς να δεις αναλυτικά τη σελίδα για ορθοδοντική ενηλίκων, ενώ αν σε ενδιαφέρει μια πιο διακριτική προσέγγιση χωρίς εμφανή σιδεράκια, μπορείς να ανακαλύψεις την αόρατη ορθοδοντική.

Ορθοδοντικός Θεσσαλονίκη – Βασιλειάδης Α. Ευθύμιος DDS MSc
Πονάνε τα σιδεράκια;
Αν το σκέφτεσαι, δεν είσαι ο μόνος.
Η αίσθηση που μπορεί να νιώσεις τις πρώτες ημέρες είναι ήπια και προσωρινή. Το στόμα προσαρμόζεται πολύ γρήγορα και η ενόχληση μειώνεται αισθητά.
Στην πράξη, οι περισσότεροι ασθενείς συνεχίζουν κανονικά την καθημερινότητά τους από τις πρώτες κιόλας ημέρες..
Θέλεις να δεις πραγματικά αποτελέσματα από ασθενείς που έχουν ήδη ξεκινήσει θεραπεία; Δες τις κριτικές ασθενών και ανακάλυψε την εμπειρία τους.
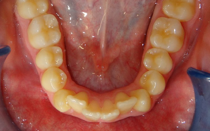
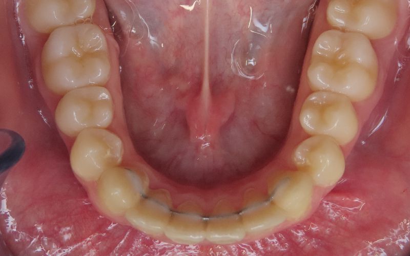
Πριν και μετά τα σιδεράκια
Η αλλαγή δεν είναι μόνο αισθητική. Είναι συνολική.
Μετά την ολοκλήρωση της θεραπείας:
- το χαμόγελο γίνεται πιο συμμετρικό
- βελτιώνεται η λειτουργία των δοντιών
- αυξάνεται η αυτοπεποίθηση
Ένα σωστό χαμόγελο επηρεάζει τον τρόπο που μιλάς, γελάς και εκφράζεσαι.


Τι επιλογές υπάρχουν για σιδεράκια;
Τι επιλογές υπάρχουν για σιδεράκια;
Η επιλογή εξαρτάται από τις ανάγκες και τον τρόπο ζωής σου.
- Μεταλλικά σιδεράκια
Αποτελεσματικά και δοκιμασμένα - Κεραμικά σιδεράκια
Πιο διακριτικά, με φυσική εμφάνιση - Διαφανή σιδεράκια (aligners)
Αφαιρούμενα και σχεδόν αόρατα
Κατά τη διάρκεια της επίσκεψης, θα σου εξηγήσουμε ποια επιλογή ταιριάζει καλύτερα στη δική σου περίπτωση.
Πόσο διαρκεί η θεραπεία με σιδεράκια
Η διάρκεια εξαρτάται από το κάθε περιστατικό.
Συνήθως κυμαίνεται: από 12 έως 24 μήνες
Με σωστή παρακολούθηση και συνέπεια, το αποτέλεσμα είναι σταθερό και μακροχρόνιο.


Σιδεράκια Δοντιών Πριν και Μετά
Σιδεράκια Δοντιών Πριν και Μετά
Συχνές ερωτήσεις για σιδεράκια στα δόντια
Σιδεράκια στα δόντια στη Θεσσαλονίκη – Κλείσε το πρώτο σου ραντεβού
Αν σκέφτεσαι να ξεκινήσεις ορθοδοντική θεραπεία, το πρώτο βήμα είναι πιο απλό απ’ όσο νομίζεις.
Στο ιατρείο μας στη Θεσσαλονίκη προσφέρουμε ολοκληρωμένες ορθοδοντικές λύσεις για κάθε ανάγκη. Μπορείς να δεις όλες τις διαθέσιμες θεραπείες στη σελίδα των υπηρεσιών μας και να επιλέξεις αυτή που σου ταιριάζει.

